in

Les patientes atteintes d'un cancer du sein de stade 0 n'ont peut-être pas besoin de se précipiter vers une intervention chirurgicale

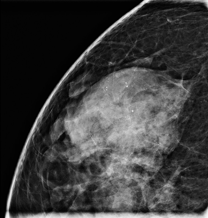
Mammographie d'un sein présentant un carcinome à tissus denses et canalaire in situ, également appelé cancer du sein de stade 0. Le CCIS apparaît sous la forme de petites taches blanches.

Regarder et attendre peut être une alternative à la chirurgie pour certaines femmes atteintes d'une forme très précoce de cancer du sein.

Une nouvelle étude portant sur 957 femmes a évalué s'il était sécuritaire d'effectuer une surveillance active d'une forme à faible risque de carcinome canalaire in situ, ou CCIS – un cancer non invasif, souvent appelé cancer du sein de stade 0, qui ne s'est pas propagé au-delà des canaux galactophores. — comme alternative à la chirurgie (SN : 30/08/24).

Après deux ans de suivi, les femmes qui devaient subir une surveillance active n'avaient pas plus de cancer du sein invasif que les femmes qui devaient subir une intervention chirurgicale, rapportent des chercheurs le 12 décembre dans JAMA. En fait, dans le groupe chirurgical, il y avait un taux cumulé de cancer invasif de 8,7 pour cent, contre un taux de 3,1 pour cent dans le groupe de surveillance.

Parmi les cancers détectés dans le groupe de surveillance par rapport à ceux découverts lors d'une intervention chirurgicale, «ces cancers n'étaient pas plus gros, ils n'étaient pas plus susceptibles de se propager, explique Shelley Hwang, chirurgienne du cancer du sein à la faculté de médecine de l'Université Duke.

La surveillance active comprenait des mammographies tous les six mois et un traitement hormonal pour la plupart des participants. Sur les 484 femmes du groupe de suivi, 82 ont fini par se faire enlever une grosseur ou un sein entier. Les 473 participants affectés au groupe chirurgical ont souvent également reçu une radiothérapie et une hormonothérapie. Une poignée de volontaires dans chaque groupe ont reçu une chimiothérapie.

Les résultats suggèrent qu'une approche de surveillance et d'attente est sûre à court terme et peut même être supérieure à la chirurgie pour le CCIS à faible risque, car elle aide les femmes à éviter les traitements pour une maladie précancéreuse qui ne mettra peut-être jamais leur vie en danger, Hwang et ses collègues. dire.

Mais « deux ans de suivi sont bien, bien, bien trop courts pour tirer cette conclusion », déclare Monica Morrow, chirurgien oncologue et chef du service de chirurgie du cancer du sein au Memorial Sloan Kettering Cancer Center de New York, co-auteur d'un éditorial. à propos de l'étude parue également le 12 décembre dans JAMA. Elle souligne que même si les femmes du groupe de suivi qui ont subi une intervention chirurgicale retardée ne présentaient pas de grandes différences statistiques dans la taille de leurs tumeurs par rapport au groupe de chirurgie, le groupe de suivi présentait plus de cancers de plus d'un centimètre que dans le groupe qui a subi une intervention chirurgicale. opération chirurgicale tout de suite.

« À mesure que les cancers grossissent, le risque de propagation aux femmes [lymph] les nœuds montent. La quantité de médicaments que nous leur administrons pour les traiter augmente », explique Morrow. « Donc, si en retardant l'intervention chirurgicale, vous finissez par recevoir un traitement plus agressif que celui que vous auriez reçu si vous aviez subi l'opération au début, est-ce vraiment un bon compromis ? »

Et l'étude n'est pas représentative de toutes les femmes atteintes de CCIS, dit Morrow.

Comme le note Hwang, l’étude a examiné le CCIS chez des femmes âgées de 40 ans et plus chez lesquelles les cellules canalaires anormales « n’avaient pas l’air particulièrement agressives » et qui possédaient des récepteurs pour des hormones telles que l’œstrogène ou la progestérone. Ces facteurs rendent les cellules à faible risque de devenir un cancer invasif et peuvent être contrôlées par un traitement hormonal. Environ la moitié des plus de 50 000 cas de CCIS diagnostiqués chaque année aux États-Unis entrent dans la catégorie à faible risque, explique Hwang. Les personnes atteintes de formes plus agressives de CCIS ne devraient pas attendre qu'elles soient supprimées, dit-elle.

Une autre différence entre les femmes volontaires pour l'étude et la population générale diagnostiquée avec un cancer du sein de stade 0 est psychologique, explique Morrow. Souvent, les patients diagnostiqués avec un CCIS souhaitent le retirer. Mais « les femmes qui ont participé à cette étude voulaient très clairement avoir Non chirurgie. » En fait, un nombre étonnamment élevé de 473 femmes assignées au hasard pour subir une intervention chirurgicale ont refusé. Seuls 264 patients ont suivi le traitement prévu.

Les patients et les défenseurs des patients qui s'inquiètent d'un traitement excessif pourraient être rassurés par l'étude, dit Hwang. « Les patients [diagnosed with DCIS] On me disait : « Tu dois être à la salle d'opération la semaine prochaine pour que nous puissions sortir ça. » Ils peuvent être très rassurés de savoir qu’il ne s’agit pas d’une urgence et qu’ils n’ont pas besoin de se précipiter dans quoi que ce soit.

Une étude complémentaire, publiée le 12 décembre dans JAMA Oncologiea examiné la qualité de vie des patients des groupes de surveillance et de chirurgie. « Les patients du groupe de surveillance active ne passaient pas toutes leurs journées à s'inquiéter de certaines choses », explique Hwang. « Il y avait autant d'inquiétude dans les deux groupes. »

Jeff Bezos et Lauren Sánchez ont dîné avec Donald Trump, renforçant ainsi leur bonne foi en Floride

Jeff Bezos et Lauren Sánchez ont dîné avec Donald Trump, renforçant ainsi leur bonne foi en Floride

Kylie Kelce révèle ses opinions politiques après avoir renversé Joe Rogan

Kylie Kelce révèle ses opinions politiques après avoir renversé Joe Rogan