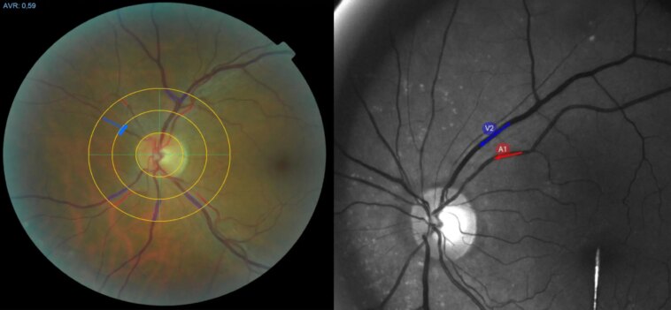
Lors d’un examen de la vue, le diamètre des petits vaisseaux sanguins (à gauche) et la dilatation des vaisseaux en réponse aux impulsions lumineuses (à droite) peuvent être mesurés. Les deux sont altérés chez les personnes atteintes d’un long Covid. Crédit : Département de Néphrologie / TUM
Un examen de la vue standardisé pourrait révéler à l’avenir si les personnes souffrent d’un Covid long/post-Covid. Une équipe de scientifiques a pu démontrer un lien évident entre la maladie et certaines modifications des vaisseaux sanguins de l’œil.
Longtemps après avoir contracté COVID 19, entre 10 et 35 pour cent des personnes touchées continuent de ressentir des symptômes tels que des problèmes respiratoires ou de la fatigue. Jusqu’à présent, aucune caractéristique physique, ou ce qu’on appelle des biomarqueurs, n’est connue qui puisse être utilisée pour diagnostiquer de manière fiable un long Covid.
L’une des caractéristiques du COVID-19 réside dans les modifications des vaisseaux sanguins. Cela affecte l’endothélium, en particulier la paroi interne du vaisseau sanguin. En raison de ces changements, les organes du corps ne reçoivent pas suffisamment de sang.
Concentrez-vous sur les petits vaisseaux sanguins
Jusqu’à présent, les vaisseaux sanguins étudiés étaient majoritairement de gros vaisseaux. « Cependant, 90 pour cent des cellules endothéliales du corps se trouvent dans des vaisseaux petits et minuscules. Ce qui arrive à ces vaisseaux sanguins en cas de Covid long est à peine connu », déclare le responsable de l’étude, le professeur Christoph Schmaderer, médecin-chef du département de néphrologie de la Klinikum rechts der Isar, l’hôpital universitaire de la TUM.
« Les vaisseaux sanguins de l’œil pourraient fournir un indice sur l’état des petits vaisseaux sanguins dans tout le corps », explique Schmaderer. Ils sont facilement accessibles pour examen, ajoute-t-il. Les méthodes et outils nécessaires sont bien testés et ne nécessitent aucune intervention dans l’organisme.
Les vaisseaux sont rétrécis ou se dilatent moins
Schmaderer, co-responsable de l’étude, le Dr Timon Kuchler, et son équipe décrivent leurs résultats dans la revue scientifique « Angiogenesis ». Deux valeurs, en particulier, ont montré une forte corrélation avec les longues maladies Covid. Premièrement, les artérioles, c’est-à-dire les plus petites artères, étaient significativement rétrécies par rapport au groupe témoin sain. Deuxièmement, les veinules – mais pas les artérioles – ont montré une réponse altérée à la stimulation lumineuse. Si vous projetez une lumière vacillante dans l’œil, les vaisseaux sanguins se dilatent. Dans le cas des patients atteints de Covid long, cette réponse a été considérablement réduite.
Plus les marqueurs inflammatoires étaient mesurés dans le sang des participants, plus les changements étaient prononcés. Selon des études, les réponses inflammatoires persistantes sont soupçonnées d’être un autre facteur important du Covid long.
Des études complémentaires sont nécessaires
Étant donné que l’étude est relativement petite, avec 41 participants malades et qu’elle n’a été menée que dans un seul hôpital, aucun test fiable pour le Covid long ne peut encore être dérivé des résultats. De l’avis des chercheurs, d’autres études sont nécessaires pour vérifier les résultats. «Je suis convaincu qu’un outil peut être développé sur la base de nos résultats afin de diagnostiquer en toute confiance le Covid long», déclare Christoph Schmaderer. « Nous supposons également que la microcirculation est restreinte, non seulement dans les yeux mais aussi dans d’autres parties du corps. Cela pourrait rendre la méthode particulièrement adaptée pour évaluer l’efficacité des futures thérapies pour le long Covid.


