Les vrilles ultrafines qui transmettent les messages autour du système nerveux sont souvent dessinées sous forme de lignes lisses. Mais une nouvelle étude ajoute quelques fioritures à ce tableau classique. Comme une guirlande de canneberges accrochée à un arbre de Noël, les fibres nerveuses appelées axones pourraient en réalité être une série de bosses, suggèrent des chercheurs le 2 décembre. Neurosciences naturelles.
L'affirmation est intrigante, mais il est trop tôt pour redessiner les axones, explique Pramod Pullarkat, physicien qui étudie la structure des neurones à l'Institut de recherche Raman de Bangalore, en Inde. «Je ne considère pas encore cela comme un fait absolu», dit-il. « Mais c'est tout à fait une possibilité. »
Les physiciens qui étudient les fluides connaissent depuis longtemps cette forme de perles sur un fil. De fins brins de fluides forment des perles lorsqu'ils sont étirés, un phénomène qui peut être repéré dans les fluides visqueux comme le miel et le gel d'aloe vera.
Des perles ont également été repérées sur les axones, qui ressemblent en quelque sorte à ces liquides, avec des parties internes et externes malléables. Mais la structure perlée n’a pas été systématiquement étudiée.
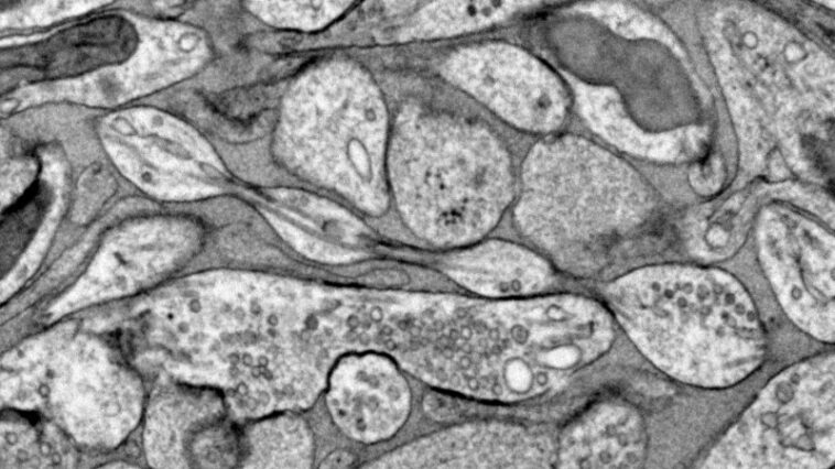
Dans ce nouveau travail, les chercheurs ont examiné les axones du cerveau de souris. Les scientifiques utilisent couramment des produits chimiques pour préserver ou « réparer » les cellules afin de pouvoir les étudier plus en profondeur. Mais cette méthode modifie souvent la forme du tissu, comme si on desséchait un raisin pour en faire un raisin sec, explique Shigeki Watanabe, biologiste cellulaire et neuroscientifique à la faculté de médecine de l'université Johns Hopkins. Pour voir les axones tels qu’ils sont réellement, Watanabe et ses collègues ont plutôt utilisé une méthode de congélation à haute pression. Ce type de cryoconservation « c’est comme faire un raisin congelé », dit-il.
Ces axones de souris congelés étaient constitués de taches rondes reliées par de minces tubes, ont révélé des images au microscope électronique. Les chercheurs ont réalisé ces expériences avec un type d’axone qui n’est pas enveloppé dans un matériau isolant appelé myéline. Comme une couche gonflée, la myéline recouvre certaines fibres nerveuses du cerveau appelées substance blanche. D'autres expériences non publiées montrent une structure similaire de perles sur un fil sur les axones myélinisés, explique Watanabe. Et son équipe a observé des perles dans les axones humains.
Pullarkat souligne qu'il existe des exemples clairs d'axones lisses. « Les gens s'intéressent aux axones depuis longtemps », dit-il. Les cellules cultivées dans des boîtes, par exemple, ont généralement des axones épais qui semblent cylindriques à moins qu'ils ne soient endommagés. « Mais il est possible qu'un sous-ensemble d'axones ait cette géométrie de perle, même dans des conditions normales. »
Ces gouttes – anciennement connues sous le nom de varicosités nanoscopiques – se forment à cause de la mécanique physique, explique Watanabe. Il faut moins d’énergie pour créer une structure blob que pour fabriquer un cylindre, dit-il.
La forme d'un axone influence la vitesse à laquelle les signaux se déplacent le long de celui-ci, suggèrent des expériences de modélisation et des expériences sur les axones de souris. Et la nouvelle étude donne à penser que les signaux se déplaçant le long des axones influencent également la forme des bosses.
Mais l'affaire n'est pas réglée. La méthode de congélation pourrait déformer les axones d'une manière ou d'une autre. « Il est possible que la technique ne soit pas encore là pour voir les choses correctement », explique Watanabe. « Mais je suis confiant quant à ce que nous observons. »
Watanabe et ses collègues prévoient d'étudier si les axones perlés sont affectés par le sommeil, période au cours de laquelle l'environnement mécanique du cerveau change. Ils sont également impatients d’étudier davantage les formes en observant les axones à l’intérieur des cerveaux vivants (SN : 09/11/17).
Pullarkat est heureux de voir les données, qu'il s'agisse d'une forme générale d'axone ou d'un phénomène plus sélectif. « Parfois, il n'est pas facile de bouleverser un fait établi, et les gens hésitent simplement à le faire », dit-il. Dans le cas des axones perlés, « il y a de bonnes raisons de penser qu’ils se trouvent peut-être sur quelque chose de réel ».
Alors restez à l'écoute, mais n'emmenez pas encore un Sharpie au dessin des axones.


