in

Aussi bon que les scellants dentaires – Des scientifiques découvrent un liquide peu coûteux qui prévient la carie dentaire

SciTechDaily

De nouvelles recherches démontrent que le fluorure d’argent diamine (SDF) est aussi efficace que les scellants dentaires pour prévenir la carie dentaire chez plus de 4 000 élèves du primaire, offrant un processus de demande moins coûteux et plus rapide. Ce traitement alternatif prévient non seulement les caries, mais représente également une mesure d’économie importante qui peut accroître l’accès aux soins dentaires, en particulier dans les programmes scolaires de prévention des caries.

Le fluorure d’argent diamine prévient les caries et empêche l’aggravation des caries existantes dans le cadre d’un programme scolaire.

Un liquide peu coûteux et anti-carie appelé fluorure d’argent diamine (SDF) fonctionne aussi bien que les scellants dentaires pour empêcher la carie dentaire dans un programme scolaire de prévention et de traitement des caries, selon une nouvelle étude menée par des chercheurs du NYU College of Dentistry.

L’étude, qui a suivi plus de 4 000 élèves du primaire pendant quatre ans et est publiée dans JAMA Pédiatriemontre que le SDF est une alternative efficace aux scellants et peut accroître l’accès aux soins dentaires tout en réduisant les coûts.

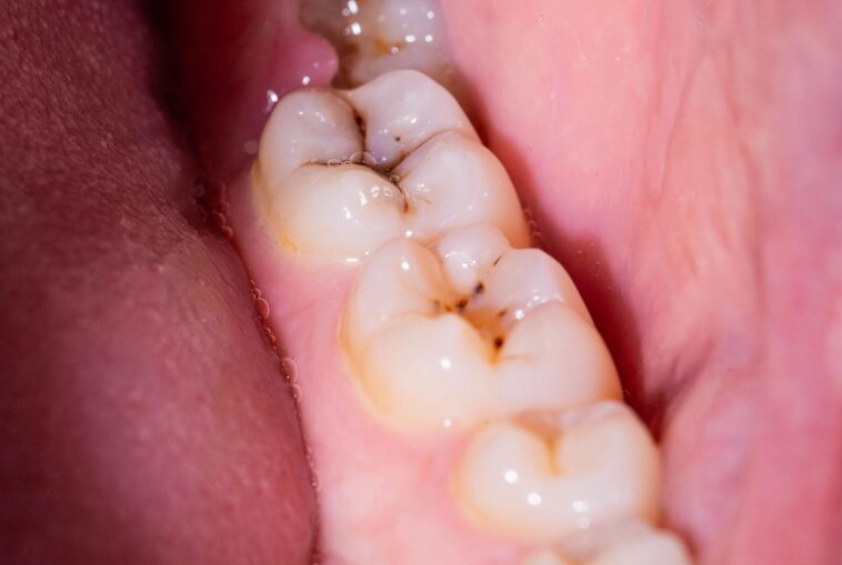
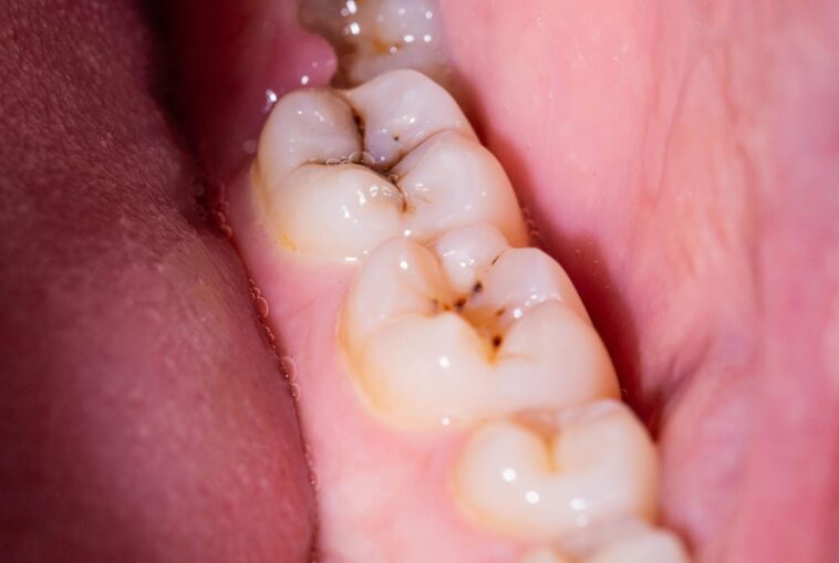
Les caries dentaires sont la maladie chronique la plus répandue chez les enfants et peuvent entraîner des douleurs, des absences scolaires et une baisse des résultats scolaires. Pour prévenir les caries, en particulier chez les enfants moins susceptibles de consulter un dentiste, les Centers for Disease Control and Prevention (CDC) soutiennent l’utilisation de programmes de scellement dans les écoles. Dans le cadre des programmes de scellement, les professionnels dentaires se rendent dans les écoles pour appliquer une fine couche protectrice sur la surface des dents qui durcit et protège contre la carie.

Le SDF est apparu comme un autre traitement prometteur pour lutter contre les caries. Initialement approuvée par la FDA pour traiter la sensibilité dentaire, la solution est appliquée sur la surface des dents, tuant les bactéries responsables des caries et reminéralisant les dents pour prévenir davantage de caries.

« De plus en plus de recherches montrent que le SDF, plus rapide à appliquer et moins coûteux que les mastics, peut prévenir et arrêter les caries, réduisant ainsi le besoin de forage et de remplissage », a déclaré Richard Niederman, DMD, professeur d’épidémiologie et de promotion de la santé à NYU. College of Dentistry et auteur principal de l’étude.

SDF dans les écoles

Des chercheurs du NYU College of Dentistry ont dirigé CariedLoin, la plus grande étude du pays sur la prévention des caries en milieu scolaire, pour comparer l’utilisation du SDF et des scellants traditionnels. L’étude a porté sur environ 4 100 enfants des écoles élémentaires de la ville de New York ; plus d’un quart des enfants avaient des caries non traitées au début de l’étude.

Programme de prévention des caries en milieu scolaire CariedAway

Des chercheurs du NYU College of Dentistry ont dirigé CariedAway, la plus grande étude de prévention des caries en milieu scolaire au pays, pour comparer l’utilisation du fluorure d’argent diamine et des produits d’étanchéité traditionnels. L’étude a porté sur environ 4 100 enfants des écoles primaires de la ville de New York. Crédit : Sorel : Avec l’aimable autorisation du NYU Photo Bureau

À chaque visite à l’école, une équipe de professionnels de la santé a examiné les dents des enfants et a appliqué soit des scellants, soit du SDF, suivis d’un vernis fluoré, en fonction du traitement auquel l’école avait été assignée au hasard. Les scellants étaient administrés par des hygiénistes dentaires, tandis que le SDF était appliqué soit par des hygiénistes dentaires, soit par des infirmières autorisées, le tout sous la supervision d’un dentiste. Depuis 2018, l’équipe a visité chaque école deux fois par an, même si le COVID 19 la pandémie et les fermetures d’écoles ont entraîné des visites manquées.

Les chercheurs ont rapporté l’année dernière dans la revue Réseau JAMA ouvert qu’un seul traitement de SDF ou de mastics a évité 80 % des caries et empêché 50 % des caries existantes de s’aggraver deux ans plus tard. L’équipe a poursuivi son étude pendant encore deux ans et, dans son étude publiée dans JAMA Pédiatrie, ont constaté que le SDF et les produits d’étanchéité évitaient à peu près le même nombre de caries après que les enfants aient été suivis pendant un total de quatre ans. De plus, les scellants et le SDF ont réduit le risque de carie à chaque visite de suivi.

« Notre étude longitudinale réaffirme que les mastics et le SDF sont efficaces contre les caries. Le SDF est une alternative prometteuse qui peut soutenir la prévention des caries en milieu scolaire, non pas pour remplacer le modèle de scellement dentaire, mais comme une autre option qui prévient et arrête également la carie », a déclaré Ryan Richard Ruff, PhD, MPH, professeur agrégé d’épidémiologie et de promotion de la santé. au NYU College of Dentistry et premier auteur de l’étude.

« La plupart des recherches montrent que le SDF peut empêcher la progression d’une carie. Notre étude a démontré que le SDF peut prévenir l’apparition de caries en premier lieu », a déclaré Tamarinda Barry Godín, DDS, MPH, directrice associée du programme et dentiste superviseur pour Caried.Loinchercheur scientifique au NYU College of Dentistry et co-auteur de l’étude.

Une main-d’œuvre en santé bucco-dentaire « inexploitée »

L’adoption du SDF pour la prévention et le traitement des caries dans les écoles pourrait empêcher les enfants d’avoir besoin d’obturations, ce qui permettrait aux familles et au système de santé d’économiser de l’argent. Pourtant, ces programmes ne peuvent réussir que s’il y a suffisamment de professionnels de santé pour prodiguer des soins.

Les chercheurs de NYU ont découvert que les enfants auxquels le SDF avait été appliqué par des hygiénistes dentaires et des infirmières autorisées avaient des résultats similaires, ce qui suggère que les infirmières, y compris les infirmières scolaires, pourraient jouer un rôle crucial dans les programmes de prévention des caries.

« Les infirmières pourraient constituer une ressource inexploitée pour lutter contre les inégalités en matière de santé bucco-dentaire », a ajouté Ruff. « Nos résultats suggèrent que les infirmières peuvent fournir efficacement ces soins préventifs, ce qui pourrait améliorer considérablement l’accès, compte tenu du rôle des infirmières scolaires et de la taille du personnel infirmier. »

Cette recherche a été financée par le Patient-Centered Outcomes Research Institute (PCS-160936724). Le CariéLoin Un modèle de prévention des caries est actuellement utilisé dans trois districts scolaires du New Hampshire, soutenu par Northeast Delta Dental.

cc governo.it, modified, https://commons.wikimedia.org/w/index.php?search=meloni%20zelensky&ns0=1&ns6=1&ns12=1&ns14=1&ns100=1&ns106=1#/media/File:Incontro_bilaterale_con_il_Presidente_Zelensky_a_Kiev.jpg; Incontro_bilaterale_con_il_Presidente_Zelensky_a_Kiev

La guerre d’Ukraine : la déclaration d’indépendance géopolitique de l’Europe ?

SciTechDaily

Oasis cachée de l’Antarctique : des scientifiques identifient des poches potentielles de vie dans une mer de glace